George Carter, 1806 - 1870

by Brian Stevenson
last updated April, 2020

George Carter was a highly-recommended professional preparer of microscope slides, but, until recently, his work had not been identified.

John Quekett wrote in his third edition of A Practical Treatise on the Use of the Microscope (1855): “For the advantage of those who are resident in the country, as well as for those who may be desirous of investigating any of the various branches of natural history, whether for amusement or otherwise, it has been deemed advisable to divide vegetable and animal structures into different classes. Mr. Topping, of No. 4, New Winchester Street, Pentonville Hill - Mr. Darker, of No. 9, Paradise Street, Lambeth - Mr. J.T. Norman, of No. 10, Fountain Place, City Road - Mr. J.W. Bond, of No. 1, Emma Street, Ann's Place, Hackney Road - and Mr. George Carter, of 20, Christopher Square, Sun Street, Finsbury - have obligingly furnished the author with lists of the most important specimens of the various classes which they are in the habit of supplying to their customers.” That single, brief note comprises almost all that is known of George Carter’s microscopy supply business. We have not located any advertisements from Carter, nor additional published descriptions of his work. Census and baptism records indicate that Carter was in business as a microscopist by 1851, and continued in that line of work until at least 1862.

Recently, a microscope slide came to light that was probably made by George Carter (Figures 1-3). It uses a production style that is consistent with ca. 1850s: a dry-mount with the cover slip attached by a thin bead of wax-based sealant. The glass slide is about 1mm thick (much thicker than the modern standard), has well-polished sides, and a slight bevel on the upper edges. The specimen description was etched into the glass slide with a diamond, as was also the name “Carter”. Of all known slides, this microscope slide is by far the most likely to have been made by George Carter.


Figure 1. Top: A microscope slide that is signed “Carter”. The specimen is a thin section of “human bone, femur”, dry-mounted under a glass cover slip that is attached by a thin bead of wax-based sealant. Quekett recommended that bone sections be dry mounted, as balsam and other mountants obscure details. Bottom: Another, unsigned microscope slide with the same handwriting, produced in an identical manner, and also of a bone. It bears a label from an owner, Samuel C. Hincks (1829-1894). The clear glass slides were photographed against a black background to permit visualization of the diamond etching.

 


Figure 2. Enhanced details of the etched handwriting on the slides shown in Figure 1.

 


Figure 3. An oblique view of the slide that is signed “Carter”. The thick slide has polished sides, with a slight bevel on the upper surface. The cover slip is attached with a thin bead of wax-based sealant. It is probably what Quekett called “electrical cement”, recommended for attaching cover slips of dry mounts: “A very useful cement … is made by melting together ten ounces of resin and two ounces of bees'-wax, adding two ounces of red ochre and a teaspoonfull of plaster of Paris … it must be used when hot, and can readily be fashioned into any shape before it gets quite cold. … this, when melted in a ladle, can be laid on with a brush, and afterwards made very smooth with a piece of iron wire heated in the spirit lamp, and when cold can be trimmed off in any way by a knife; as soon as the angle between the cover and slide”.

 


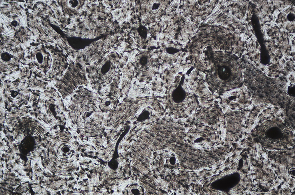
Figure 4. Human femur (Figures 1 and 3). Photographed with a 10x objective lens, C-mounted digital SLR camera, and transmitted white light.

 

According to census records, George Carter was born in approximately 1806, in Shoreditch, Middlesex (now within London). He may have been the George Carter who was baptized at St. Leonard’s, Shoreditch, on August 17, 1806, son of William and Sarah Carter. George is first identifiable in records on the 1851 census of England as a 45 year old, married to Hannah Carter (age 36) and having a son, George (age 4 months). George senior described his employment as “microscopist”. The Carters lived at 20 Christopher Square, Holywell, Shoreditch. They shared that address with four other households. Among these was Isabella O’Hara, a 27-year old widow with four young children.

Hannah Carter died during early 1853. George married Isabella O’Hara shortly thereafter. A son, Charles, was born 7 April, 1855. Charles, and the two subsequent children of George and Isabella, were baptized on January 19, 1862 at St. Leonard’s Shoreditch. On the children’s christening records, George’s occupation was listed as “microscoper”.

The 1861 census recorded George as being a “lapidary”. The thin sections of bone on the slides shown in Figures 1-4 are consistent with the products of a man whose stated occupation is grinding and polishing stones and other hard objects. The 1861 census also indicates that Carter simultaneously occupied two addresses. He, Isabella, and their children lived at 57 Long Alley, Holywell, Shoreditch. Two other households shared that address. George was also reported to occupy 20 Christopher Square, which was adjacent to Long Alley. Six other households/businesses also occupied that address. Those high occupancies suggest that the buildings were multi-level tenements.

George Carter died in 1870. The 1871 census shows Isabella and children living in Bethnal Green, London, with a daughter from her first marriage.

The slides shown in Figures 1-4 were produced by a highly skilled mounter. If they were prepared by George Carter, then it is obvious why Quekett included Carter in his 1855 list of recommended slide-makers.

Quekett’s first, 1848 edition of A Practical Treatise on the Use of the Microscope did not specifically recommend any slide-makers. His second, 1852 edition listed Charles Topping, William Darker, John Norman, James Bond, and Cornelius Poulton, all of whom were well known to the London scientific community at that time. Poulton died in 1854, and Quekett apparently wanted to continue referencing 5 professional slide makers. The lists of microscopical specimens did not change significantly between the second and third editions, so it is unclear whether or not Carter contributed anything of substance to Quekett’s publication. A possible link could be Quekett’s colleague at the Royal Microscopical Society, James S. Bowerbank. Bowerbank was an important figure in many aspects of science during the 1800s. He was born on Sun Street, where his family owned a distillery. His brother, Edward, continued to operate the distillery and live on Sun St. after James moved to Islington during the middle 1840s. Noting that Quekett gave Carter’s address as “20, Christopher Square, Sun Street”, it is likely that Bowerbank knew of Carter and his microscopy work. Bowerbank may therefore have introduced Carter’s work to Quekett.

A final note: Brian Bracegirdle, in his Microscopical Mounts and Mounters, attributed production of slides such as those in figures 1-6 to Andrew Pritchard, although no evidence was presented. Pritchard was a popular maker of microscopes and author of books on microscopy, but he probably did not make any slides for commercial sale. Pritchard’s 1847 Microscopic Objects described a slide-making method similar to that used for the slides shown in Figures 1-6, so that may have been the inspiration for Dr. Bracegirdle’s attribution. Importantly, Pritchard never claimed to have invented it or used the method commercially. Other authors of the time also described the technique, and none attributed the method to any specific person.


Figure 5. A microscope slide that is prepared using the same method as those shown in Figure 1, also of a thin sectioned bone, but with somewhat different handwriting. Was this made by George Carter at a different point in his ca. 20-year career, or is it the work of another person?

 


Figure 6. Additional slides that were made by the same procedure, being dry mounts with cover slips attached by wax-based sealant. Many such slides are known to exist, most of which have an added strip of black tape to help secure the cover slip. The maker(s) of these slides are not known, although George Carter should be added to the list.

 

Resources

Biographical essays of William Darker, Andrew Pritchard, Charles Topping, John Norman, James Bond, and Cornelius Poulton are available elsewhere on this site.

 

Bracegirdle, Brian (1998) Microscopical Mounts and Mounters, Quekett Microscopical Club, London, pages 77 and 108, Plate 2, slides A, B, C, D, E, O, and R

England census and other records, accessed through ancestry.com

Pritchard, A. (1847) Microscopic Objects, Whittaker and Co., London

Quekett, John (1848) A Practical Treatise on the Use of the Microscope, H. Bailliere, London

Quekett, John (1852) A Practical Treatise on the Use of the Microscope, H. Bailliere, London

Quekett, John (1855) A Practical Treatise on the Use of the Microscope, H. Bailliere, London (details on “electrical cement” and preparing dry-mounted slides are on pages 298 and 337-338)

Stevenson, B., B. Davidson, P. Paisley and H. Lynk (2010) Nineteenth century microscope slide mounters JWB and JB: their work and their identities, Quekett Journal of Microscopy, 41: 203-217

Stevenson, B., and H. Lynk (2016) William Hill Darker: The scientists’ engineer, Quekett Journal of Microscopy, 42: 559-579